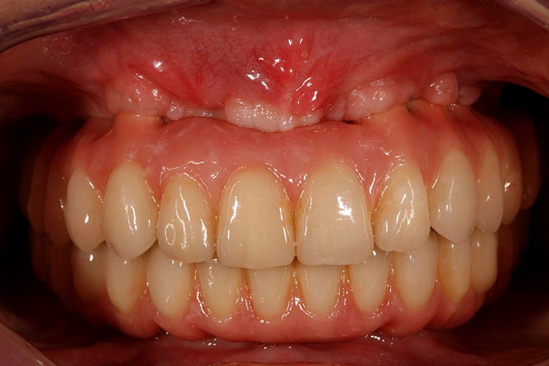
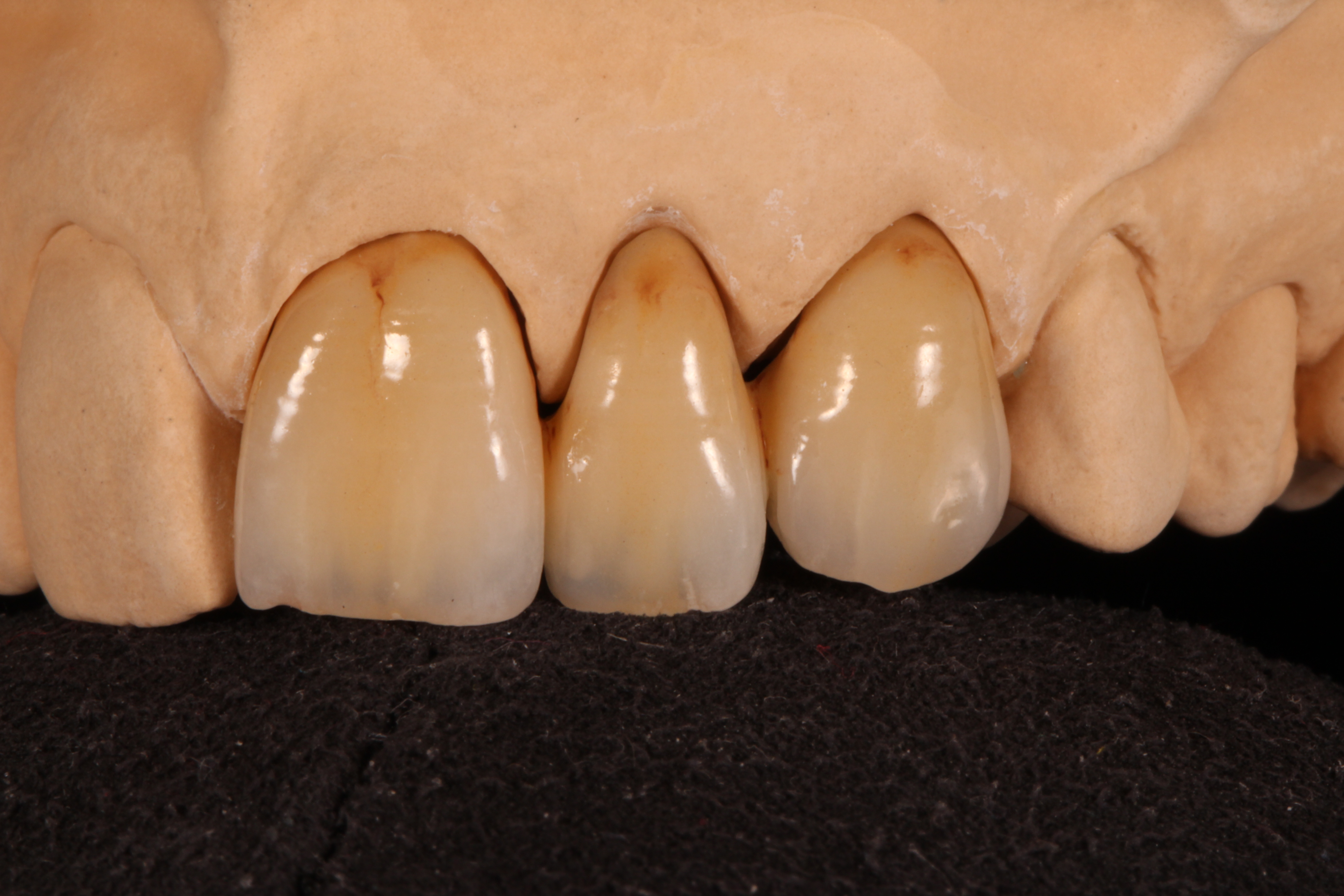
Metall ceramic

  • 1106 Bp. Fehér út 10. 26.ép. 2. em.
  • 36 / (70) 396 6656