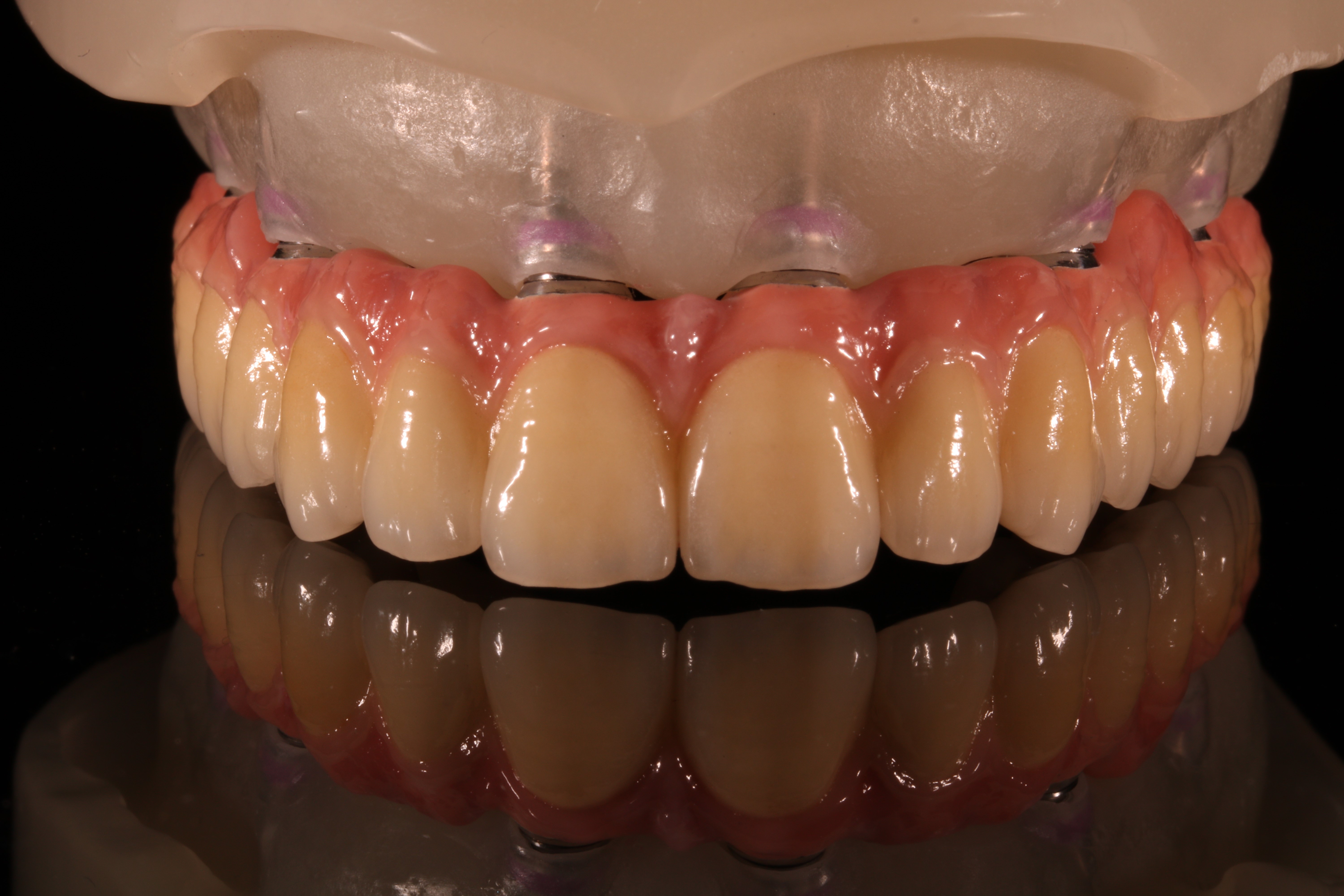
Traditional restorative processes cannot always offer adequate remedy for teeth loss, or replace them perfectly. That is when implants are needed.
1106 Bp. Fehér út 10. 26.ép. 2. em.
36 / (70) 396 6656
info@bridgedental.hu
Cookies are used to make this website work and to enhance your experience. To learn more about the types of cookies this website uses, see our Cookie Policy. You can provide consent by clicking the "I Consent" button or by canceling this cookie notice.
Close
Cookies are used to make this website work and to enhance your experience. To learn more about the types of cookies this website uses, see our Cookie Policy. We need your consent to use marketing cookies. Marketing cookies are used to track visitors across websites. The intention is to display ads (via third party services) that are relevant and engaging for individual users. Please select the checkbox below to indicate your consent.